IL BLOG DI MAIA DENTIS

Notizie e novità sulla cura e il benessere dentale

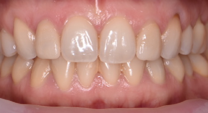
Estetica dentale: dai trattamenti sbiancanti alle faccette per un sorriso perfetto

Estetica dentale: dai trattamenti sbiancanti alle faccette per un sorriso perfetto

14 Gennaio 2025

Il sorriso è il nostro biglietto da visita, ci rappresenta e trasmette un’idea di cura personale. Oggi, grazie all’estetica dentale, è possibile migliorare l’aspetto del...

Continua a leggere
Ortodonzia linguale: trattamento ortodontico invisibile per adulti e adolescenti

Ortodonzia linguale: trattamento ortodontico invisibile per adulti e adolescenti

07 Gennaio 2025

L’ortodonzia linguale rappresenta un’evoluzione tecnologica avanzata nel campo dei trattamenti ortodontici, progettata per garantire discrezione ed efficacia. Grazie all’applicazione degli apparecchi sulla superficie linguale dei...

Continua a leggere
Denti del giudizio: quando diventa necessario estrarli?

Denti del giudizio: quando diventa necessario estrarli?

25 Dicembre 2024

I denti del giudizio, o terzi molari, rappresentano gli ultimi denti a erompere nella bocca, generalmente tra i 18 e i 25 anni. Sebbene siano...

Continua a leggere
Sorrisi sani a San Martino di Passiria: i vantaggi di una visita regolare dal dentista

Sorrisi sani a San Martino di Passiria: i vantaggi di una visita regolare dal dentista

01 Dicembre 2024

Prendersi cura del proprio sorriso non significa solo avere denti bianchi e allineati: una bocca sana riflette la salute di tutto il cavo orale. Per...

Continua a leggere
Ortodonzia a Ortisei: tutto quello che devi sapere sui trattamenti per adulti e bambini

Ortodonzia a Ortisei: tutto quello che devi sapere sui trattamenti per adulti e bambini

10 Novembre 2024

L’ortodonzia è una branca dell’odontoiatria che si occupa della prevenzione, diagnosi e trattamento delle malocclusioni dentali e scheletriche. Questi problemi, oltre a influenzare l’estetica del...

Continua a leggere
Faccette Dentali: la soluzione perfetta per un sorriso brillante

Faccette Dentali: la soluzione perfetta per un sorriso brillante

16 Ottobre 2024

Ti stai chiedendo cosa sono le faccette dentali? Sei nel posto giusto. Esse sono una delle soluzioni più efficaci e ricercate in odontoiatria estetica. Scegliere...

Continua a leggere
Frenulo corto: cos’è e come si interviene

Frenulo corto: cos’è e come si interviene

06 Agosto 2021

Se per Madonna, Elton John o Laura Pausini il diastema dentale, cioè quello spazio molto evidente tra due denti contigui, è un punto di forza,...

Continua a leggere
Tempi minimi e nessun disagio: come vi restituiamo il sorriso

Tempi minimi e nessun disagio: come vi restituiamo il sorriso

30 Luglio 2021

La mancanza di un dente non crea solo un disagio estetico, ma soprattutto altera e compromette la normale funzione masticatoria. Per questo è importante intervenire...

Continua a leggere
Benvenuti nel nostro blog

Benvenuti nel nostro blog

22 Luglio 2021

Siamo un team affiatato, quasi una famiglia Il nostro studio è formato da 53 professionisti che condividono la stessa visione medica orientata al benessere del...

Continua a leggere